BncAuto®Mvh
女性自体生殖干细胞
编号:BNC-ASC009
产品概述
女性自体生殖干细胞,是一类父母赠予每个女性产生卵子的种子细胞和源泉细胞。女性自体生 殖干细胞携带着一整套人体特定家族的遗传DNA基因密码信息和蓝本,主导、指挥和演义着每个女 性整个生命的生长发育成熟,生命功能、生命活动、生殖和繁延、生命过程和寿命长度。实际上, 女性自体生殖干细胞,包函了每个女性的生命密秘和内函,是每个女性生命中的重要和关键的精准 生殖能源细胞。
在每个人生命过程中,女性自体生殖干细胞是每个女性卵巢产生卵子的种子细胞和源泉细胞。 因此,女性自体生殖干细胞是每个女性生殖能力的源泉。
女性自体生殖干细胞产生的成熟卵子,还是每个女性雌激素的主要来源,因此,女性自体生殖 干细胞是每个女性的性源,是青春美丽、性能力的源泉,是女性卵巢年轻的源泉。

媲美遗传性女性自体生殖干细胞,特性和功能稳定
A、显微镜下观察BncAuto®Mvh女性自体生殖干细胞

图A:血液单个核细胞
图B:BncAuto®Mvh女性自体生殖干细胞
B、流式细胞术和免疫荧光技术检测Mvh阳性细胞的表达

图A:流式细胞术检测BncAuto®Mvh女性自体生殖干细胞中Mvh阳性比例,高达22.6%
图B:免疫荧光技术检测BncAuto®Mvh女性自体生殖干细胞中Mvh阳性比例,阳性细胞比例在20%以上
C、保持分化形成卵子的能力

BncAuto®Mvh女性自体生殖干细胞体内分化形成卵子和体外诱导分化形成卵子
图A:体外诱导BncAuto®Mvh女性自体生殖干细胞形成卵子
图B:卵巢内移植BncAuto®Mvh女性自体生殖干细胞中,4-6个月后形成卵子,并能过正常进行体外受精
女性生命中的第三能源细胞,女性生命之源
A、女性自体生殖干细胞的功能
1)少年时期的女性自体生殖干细胞,是卵巢发育、生长和成熟的建筑材料;是少年卵巢生卵和排卵的 源泉细胞;是少年的身体发育的设计师,是青春、快乐和健康的源泉;
2)成年时期的女性自体生殖干细胞,是女性卵巢产生功能的源泉细胞,是生卵产卵排卵、性激素和性 行为功能的母亲细胞;是性器官和性功能的祖宗细胞,是生育功能和繁殖功能的祖宗源泉;
3)卵巢里的女性自体生殖干细胞消耗殆尽,是卵巢衰老的实质,也是女性衰老的实质。女性自体生殖 干细胞是女性生命中第3种能源细胞。
B、补充自体生殖干细胞的功效和作用
具有重新补充自体卵子种子细胞的巨大潜能, 提升卵子的储备数量,使卵巢功能年轻化;
具有重新再造和修复卵巢的巨大潜力, 使卵巢结构和功能的年轻化;
具有提升女性整体生命 和整体寿命的巨大潜力;
具有长期维护和提升女性 生卵排卵功能的巨大潜力;
具有长期维护和提升机体性功能 和生育功能的巨大潜力;
具有长期维持机体精力、体力、 耐力、记忆力的巨大潜力;
具有长期维护机体智商 和情商的巨大潜力;
具有机体整体抗衰老 和维护健康的巨大潜力。
BncAuto Mvh女性自体生殖干细胞与寿命关系的探索
A、长期、固定频率的多次补充BncAuto®Mvh女性自体生殖干细胞,延缓衰老,延长寿命

图a:24月龄的对照组小鼠,衰老体征明显,脱毛、毛发暗淡无光,松散,弓背、眼睛无光泽, 尾巴干瘪、无光泽
图b:BncAuto®Mvh女性自体生殖干细胞移植组24月、28月、32月龄小鼠,体征平稳,毛发光泽度好, 顺滑,眼睛有光泽且灵动,尾巴丰满。
B、长期、固定频率的多次补充BncAuto®Mvh女性自体生殖干细胞生命能源,产生了“年轻”的超 高龄小鼠

多次补充BncAuto®Mvh女性自体生殖干细胞,平均寿命延长28%,
最长寿的BncAuto®Mvh女性自体生殖干细胞移植小鼠寿命定格在1260天(相当于人类151岁)。 这种超高龄小鼠的自然发生率是亿万分之一。
C、长期、固定频率的多次补充BncAuto®Mvh女性自体生殖干细胞,卵巢结构得到修复
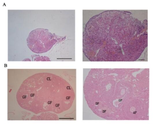
女性自体生殖干细胞是卵子的源 泉细胞,是女性卵巢组织的修复种子 ,生殖干细胞通过分化可以形成各种 卵巢细胞,并且分化形成卵子。通过 对照组和自体生殖干细胞移植组小鼠 卵巢整体形态比较,发现对照组小鼠 卵巢体积显著萎缩,卵巢组织皮质、 髓质境界不清,发生弥漫性纤维化, 有较多血管,卵巢组织内缺乏各级卵 泡,没有黄体。而自体生殖干细胞组 卵巢体积较大,卵巢组织结构完整, 内含各级卵泡和黄体CL。

D、长期、固定频率的多次补充BncAuto®Mvh女性自体生殖干细胞,延长卵巢的生理 功能,维持性功能和生育功能

多次补充BncAuto®Mvh女性自体生殖干细胞,卵巢再造,仍能吸引年轻雄性小鼠, 交配次数提升,妊娠率提升
E、长期、固定频率的多次补充BncAuto®Mvh女性自体生殖干细胞,提高心肺功能和奔 跑运动能力

多次补充BncAuto®Mvh女性自体生殖干细胞,心肺功能得到提升,体力、耐力和 奔跑能力提升
F、多次应用BncAuto®Mvh女性自体生殖干细胞,绝经女性卵巢的生卵&排卵功能恢复
对照组和自体生殖干细胞移植组小鼠24月龄时 卵巢形态学比较。
(A)24月龄对照组小鼠卵巢切片,体积缩小、萎 缩,卵巢组织切片皮质、髓质境界不清,发生弥漫 性纤维化,缺乏各级卵泡,没有黄体。
(B)24月龄自体生殖干细胞移植组小鼠卵巢体积 正常,无萎缩,卵巢中含有各级卵泡和黄体。



自体干细胞回输后,使绝经衰老的女性卵巢重新年轻,重新生卵、产卵和排卵。
